当前位置:郑州仁济医院_郑州医院骨科 > 肢体矫形及功能重建中心 > 畸形矫正中心 > 髋关节发不良 >
因为髋关节发育不良
来自许昌、安阳和漯河的3个00后
同一时间段住进了郑州仁济医院
北院区外科一的病房
准备接受保髋治疗
---髋臼周围截骨术(GANZ截骨术)

外科一
保髋治疗


初次见面 大家互相寒暄之后
就各自进行着术前的相关准备
当同时回到病房后
却忘记了怎么称呼对方
看出对方略显尴尬的表情后

23岁女孩率先说:
我是漯河的“火腿肠”……
14岁男孩立即说:
我是安阳的“殷墟”……


另一位,12岁的男孩说:
我是许昌的“钧瓷”……
随后,病房里就响起了阵阵欢笑声
自此之后,
不管是孩子们,还是陪护的家属
都牢牢地记住了这个特殊的“代号”
而类似的疾病与患病经历
让这3个00后以及家属之间
多了一份亲切、有了更多的话题




保髋新技术
以往手术的情景

刘伟强主任说,“他们3个,
虽然髋关节发育不良的程度不同,
但是经过检查和综合评估,
都有保髋治疗的条件,
可以通过髋臼周围截骨术(GANZ截骨术)
解决髋臼与股骨头覆盖不全的问题”。



23岁女孩,家住漯河
代号“火腿肠”
左下肢功能障碍18年
18年前,也就是5岁的时候,出现行走步态异常、走路一摇一晃的情况,家人还发现孩子的左腿比右腿短一点儿,虽然对日常的生活和学习造成了很大的影响,却因为各种原因一直没有治疗。

发育正常的
髋关节

23女孩的
髋关节

保髋治疗后
的髋关节
随着年龄的成长,髋部的疼痛持续加重,为了缓解疼痛慕名找到郑州仁济医院,刘主任根据症状和检查,确诊其是髋关节发育不良、左下肢短缩1cm,并带领外科一团队为其成功进行了髋臼周围截骨术(GANZ截骨术)。
…… ……



14岁男孩,家住安阳
代号“殷墟”
左下肢活动受限14年
母亲怀孕期间有妊娠期高血压病史,孩子又是早产,出生后不久,家人就发现了左下肢畸形、活动受限的情况,14年里先后进行了多次治疗,效果不佳。慕名找到刘伟强主任,经过会诊和检查后,确诊为先天性髋关节发育不良。

刘主任·说

刘主任说,怀孕时羊水过少、怀孕时母亲有高血压,胎儿个头比较大以及有儿童髋关节发育不良家族史等情况,都会增加新生儿患先天性髋关节发育不良的几率。
所以,孩子出生后要仔细
观察臀纹、做好儿保检查,
及早筛查、越早治疗
效果越好。
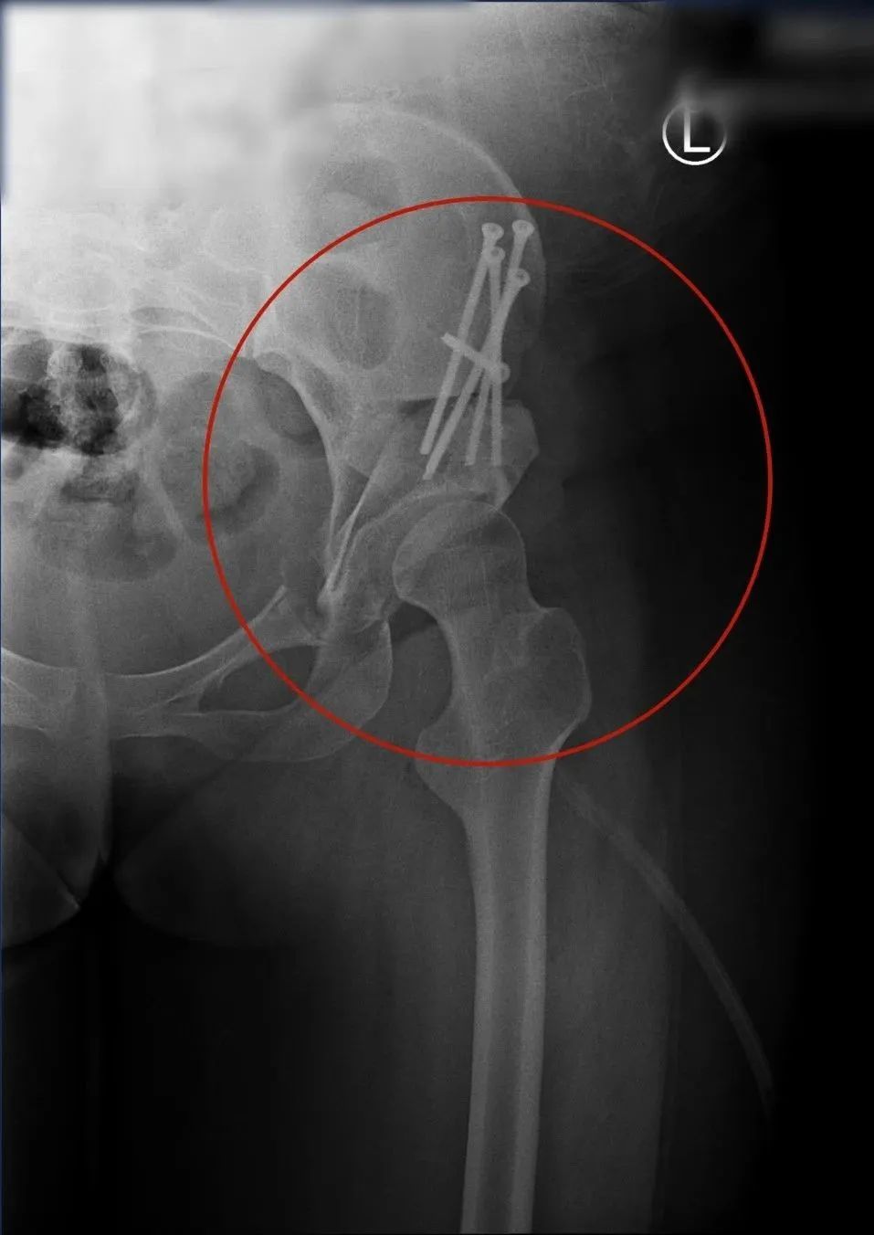
通过检查的结果,可以看出:
左侧的股骨头向上过度偏移
基本不在髋臼内
这也导致了左下肢短缩了3.3cm
属于相对严重的类型
幸运的是还有保髋的条件

发育正常的
髋关节

14岁男孩的
髋关节

保髋治疗后的
髋关节
术中,通过髋臼周围截骨术
让髋臼完全覆盖在了股骨头上
等骨骼愈合后,髋部的疼痛就没有了
双下肢也会一样长、还可以自由行走
…… ……



12岁男孩,家住许昌
代号“钧瓷”
双侧髋关节疼痛伴活动受限9年多
孩子3岁的时候,就出现了双侧髋关节疼痛、右侧疼痛更重,同时伴有行走步态异常、走路一摇一晃等情况。
通过查体和相关检查后,刘主任说,“双侧髋关节属于半脱位的状态,考虑到右侧疼痛更重,一期先进行右侧的保髋治疗,根据恢复情况,再进行二期左侧的保髋治疗”。




已经完成
右侧保髋手术
保髋治疗

目前,刘主任带领外科一,已经为其完成了一期右侧的治疗,正在顺利的恢复。依据现在的恢复速度,3个月后就可以对左侧实施髋臼周围截骨的保髋手术。
他们的保髋手术很成功
恢复很迅速
即将迈入康复的行列……
在给他们照护和日常接触中,
外科一的医护团队说,
“我们也深切的感受到了:
3位00后的乐观、勇敢与个性十足;
还有家人为了寻求
更好治疗效果,所付出的努力。
他们曾经长期遭受疼痛、
行走障碍等的困扰,
依然心存美好、阳光开朗,
用自己的力量温暖着同行人……”
保髋新技术:
给髋关节一次
“自我改正”的机会


通过在髋臼周围截骨,然后对髋臼进行旋转、固定,把髋臼这个“帽子”戴正在股骨头上,从而恢复股骨头和髋臼的正常关系,通俗来讲,就是把“偏斜的帽子戴正”。
这是一种保留自身骨头(关节)的
保髋手术
手术成功可以推迟或者
避免日后的人工髋关节置换
髋臼周围截骨术是外科一的特色手术,要说明的是,这是一种难度挺高的骨科手术,国内能成熟开展此术式的医院不多。

更多知识,直接拨打:0371-5563 0033
或者点击“在线咨询”
关注医院官方微信号了解

郑州仁济医院 官方微信号
郑州仁济医院官方服务号
扫码关注,预约挂号,高效便捷的线上服务



































